ふなばし動物医療センター 日々の診療

ふなばし動物医療センター(かつまペットクリニック)での日々の診療などをご紹介いたします。(HP: https://katsuma-pc.jp)

2025-06-14から1日間の記事一覧

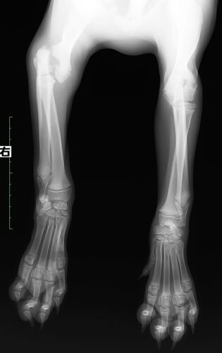
4ヶ月ゴールデンレトリバーの骨折

症例は4ヶ月、未避妊のゴールデンレトリバー。階段から落ちてから、前足の破行を主訴として来院されました。レントゲンを撮影すると、右上腕骨顆間骨折を起こしていました。 成長期の骨格には、骨の両端にある成長板という場所から軟骨細胞が骨化して、骨が…