ふなばし動物医療センター 日々の診療

ふなばし動物医療センター(かつまペットクリニック)での日々の診療などをご紹介いたします。(HP: https://katsuma-pc.jp)

2023-09-01から1ヶ月間の記事一覧

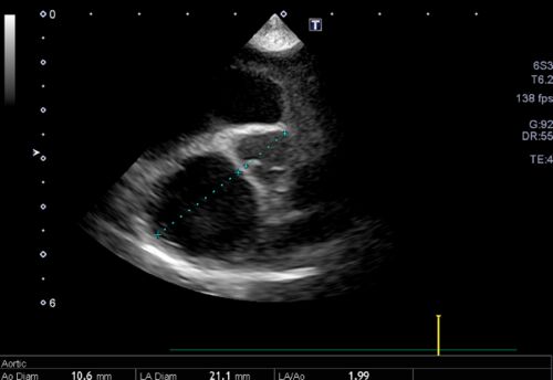
僧帽弁閉鎖不全症から肺水腫を経験したが長期生存したワンちゃん

「僧帽弁閉鎖不全症」とは、左心房と左心室の間にある僧帽弁が変性することで、逆流が生じてしまう状態のことを指します。 病態の進行に伴い、心臓はうっ血し更に悪化すると「肺水腫」という状態となり命の危険が生じます。 肺水腫とは、うっ血した心臓を原…

犬のメラノサイトーマ(良性黒色腫)

こんにちは! 今回の症例は8歳のエアデール・テリアの女の子です。 腰部の皮膚にできものがあるとの主訴で来院されました。 本人は元気食欲もあり、特にできものを気にする様子はありませんでした。 身体検査にて、腰背部の皮膚に大きさ2cmの黒色腫瘤が認め…

犬の会陰ヘルニアの一例

⚠⚠手術の画像が含まれます。苦手な方は閲覧ご注意下さい⚠⚠ 会陰とは肛門と外陰部(ペニスの根本や膣前庭)およびその周囲のことをいいます、そしてヘルニアとは脱出を意味するラテン語のherniaで、臓器や組織が何らかの原因で弱くなりできた体内の裂け目・孔…

精巣腫瘍(ライディッヒ細胞腫)の犬の一例

⚠⚠手術の画像が含まれます。苦手な方は閲覧ご注意下さい⚠⚠ 今回は犬の精巣腫瘍です。 症例は、ヨークシャテリア、14歳齢の男の子です。 健診にて精巣が片方腫れているのが分かりました。 写真のように左側の精巣が腫大し、右側の精巣が萎縮していました。 精…

ネコちゃんのジョイントマットの誤食

⚠⚠手術の画像が含まれます。苦手な方は閲覧ご注意下さい⚠⚠ 誤食に注意! 先日、朝から吐き続けているという主訴の猫ちゃんが来院されました。 レントゲンを撮影してみると、消化管になにやら怪しいものが写っています。 内視鏡では届かない場所にあるため、…