「僧帽弁閉鎖不全症」とは、左心房と左心室の間にある僧帽弁が変性することで、逆流が生じてしまう状態のことを指します。
病態の進行に伴い、心臓はうっ血し更に悪化すると「肺水腫」という状態となり命の危険が生じます。
肺水腫とは、うっ血した心臓を原因として、本来酸素交換を行うはずの肺に「水分」が貯留してしまう状態のことです。
陸上にいるが、溺れている状態、とよく言います。
今回紹介する症例の子は、残念ながら肺水腫が原因で亡くなってしまった子ではありますが、3回の肺水腫を発症してもなお復帰することができて、最後の日まで頑張ってくれた子でした。
6年前に健康診断で心雑音が発見され、心臓エコー検査において僧帽弁閉鎖不全症ステージB2と診断しピモベンダンを開始しました。
ピモベンダンというお薬には強心作用、血管拡張作用があり、心拍出量を増強することができます。
内服薬では、原因である逆流を止めることはできないので、あくまで進行を遅らせる治療となります。
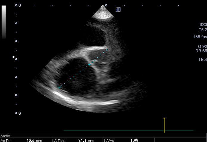
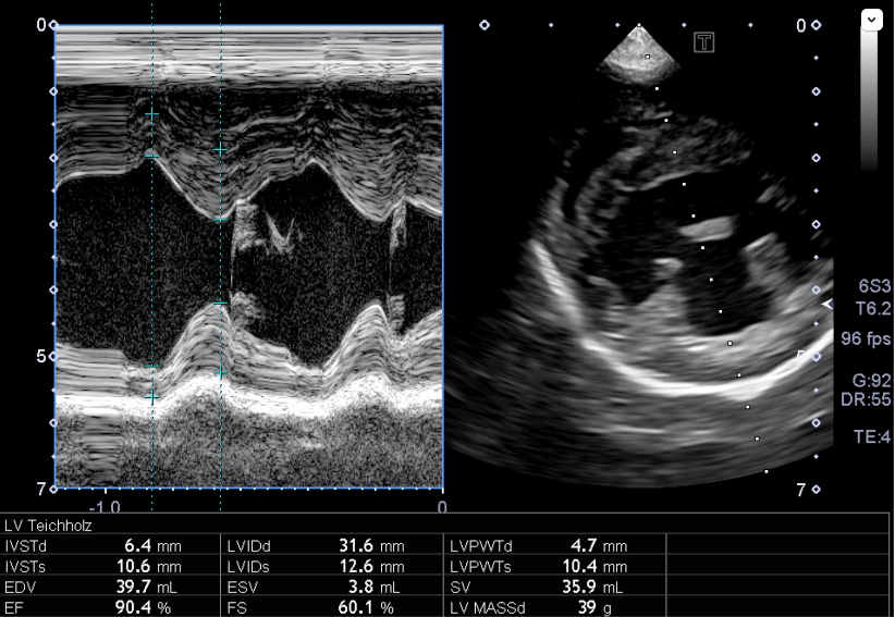
心臓エコー内服開始0日目


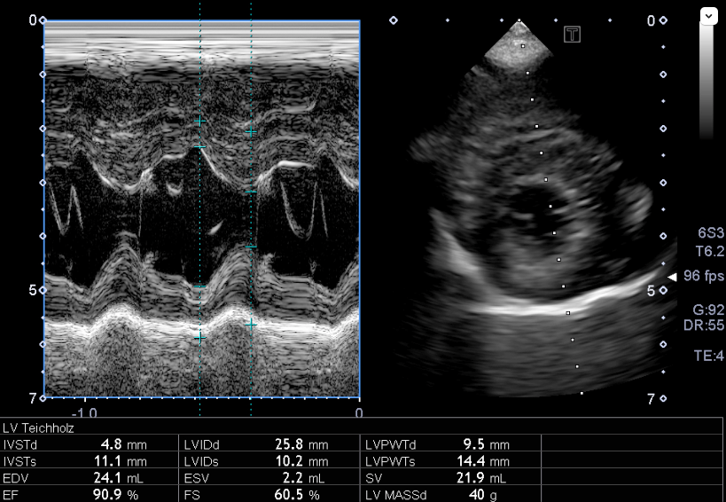
心臓エコー内服開始3年目 フロセミド開始


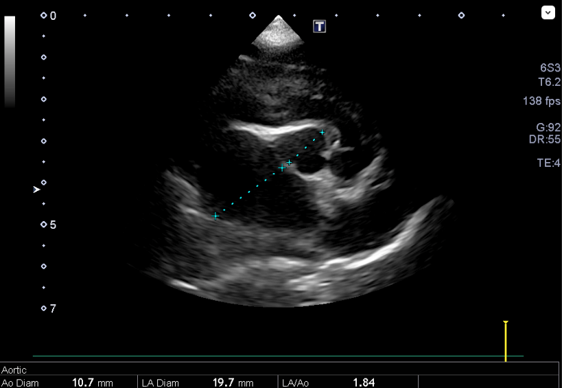
心臓エコー内服開始6年目


途中で肺水腫を経験してからは利尿薬であるフロセミドを使用し、心臓のうっ血を解除するよう働きかけました。
一般的に、肺水腫は発症してからの1年生存率は50%と言われますが、この子は発症後3年もの間、治療を頑張ってくれました。
心臓病からくる症状は様々ですが、疲れやすい、失神を起こす、咳をする、呼吸が早い、などがあります。
これらの症状が少しでも気になる子は早めに病院にご相談いらしていただきたいです。