ふなばし動物医療センター 日々の診療

ふなばし動物医療センター(かつまペットクリニック)での日々の診療などをご紹介いたします。(HP: https://katsuma-pc.jp)

2024-03-01から1ヶ月間の記事一覧

肝臓腫瘍に対して肝葉切除手術を行なったジャックラッセルテリアちゃん

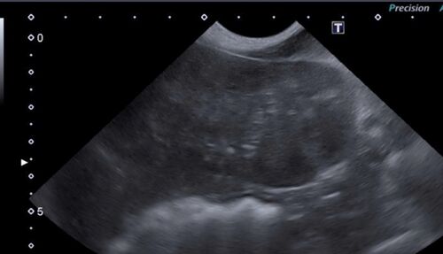
10歳のジャックラッセルテリアの女の子。 もともとの内分泌疾患があり、 定期的に血液検査を行なっていました。 その子に食欲不振が見られたため、腹部の超音波検査を行いました。 そこで、肝臓の左葉に6cm大の腫瘤を確認しました。 さらなる精査のため、CT…

尿管結石摘出を行った猫ちゃん

皆様こんにちは。 今回は、健康診断プレミアムコースにて、左の尿管結石が認められた猫ちゃんです。レントゲンでは後腹膜エリアに結石の陰影が確認され、超音波検査では腎臓の腎盂が拡張しており、尿管結石による尿路閉塞で水腎症になっていました。 血液検…