ふなばし動物医療センター 日々の診療

ふなばし動物医療センター(かつまペットクリニック)での日々の診療などをご紹介いたします。(HP: https://katsuma-pc.jp)

2024-04-15から1日間の記事一覧

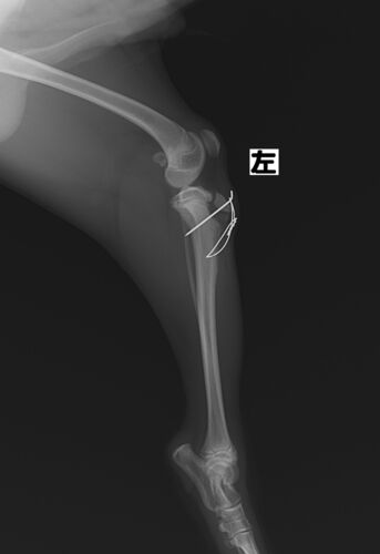
脛骨粗面剥離骨折の犬の1例

今回の症例は生後約6ヶ月のワンちゃん。 左後肢の脛骨粗面の剥離骨折で来院されました。 レントゲン検査にて、右の後肢と比べると、左後肢の脛骨粗面の近位の変位が確認できます。 正常な右後肢 脛骨粗面が骨折した左後肢 この部位の骨折は、生後10ヶ月以下…