⚠⚠手術の画像が含まれます。苦手な方は閲覧ご注意下さい⚠⚠
数ヶ月前、道端でうずくまっていた所を保護されたノラ猫ちゃん。
お腹が腫れてるという事で来院されました。
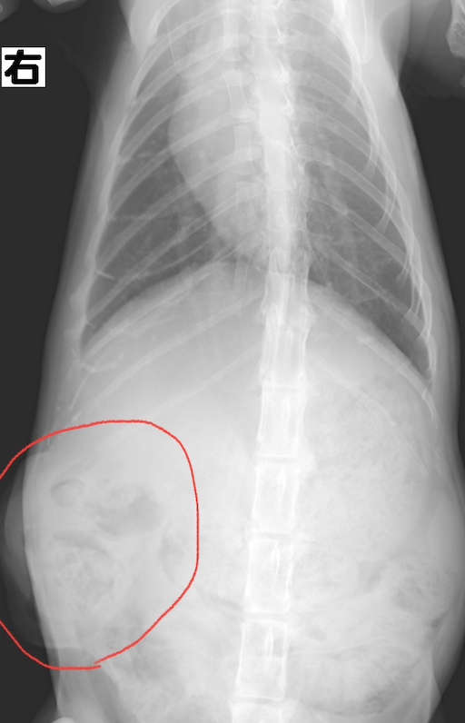
レントゲンを撮ってみると、、、


お臍の所と右側のお腹の所から脂肪組織や消化管の一部が飛び出てしまってます。
触診、レントゲンの結果から「腹壁ヘルニア」と診断しました。
ヘルニアは、腸などの臓器が本来の位置から飛び出してしまっている状態のことをいいますが、腹壁ヘルニアは外傷が原因である事が多く、この猫ちゃんはノラ猫だったので、もしかしたら事故などの強い衝撃が加わったことで腹壁が破けてしまったのかもしれません。
初診の時点では、食欲や元気はあり吐き気や排便障害などの消化器症状はなかったので保護者様と相談の上、手術は見合わせていたのですが、先日お腹の膨らみが徐々に大きくなってきたという事で、空いてしまっているお臍の所と腹壁の穴を閉じる手術を行いました。


開いてしまった所から飛び出ていた脂肪組織などを腹腔内に戻して、腹壁を縫合しました。
現在は保護された方がそのまま飼い主様となり、元気にお家で過ごしているそうです。