⚠⚠手術の画像が含まれます。苦手な方は閲覧ご注意下さい⚠⚠
今回は異物を誤食してしまった猫ちゃんの紹介です。
1歳の避妊済みの猫ちゃんで、
2日前におやつの包装紙を食べて吐いた後、嘔吐が続くとの主訴で来院しました。
その際に包装紙以外にも様々なものが出てきたとのことでした。
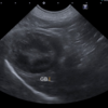
レントゲン検査、超音波検査にて腸管内に閉塞所見が認められました。
閉塞の原因としては、異物の誤食による機械的なものと
腸炎などにより腸の運動が低下する機能的なものがあります。
今回の場合、異物を疑う所見があり誤食による閉塞の可能性が高いと判断しましたが、
実際に食べたものが不明だったため確定診断には至りませんでした。
そこで飼い主様と相談の上、試験開腹を行うことにしました。
試験開腹の結果、空腸に異物(ひも)を確認しました。
こちらが閉塞の原因と判断し、腸切開により摘出しました。


紐状の異物は重症化しやすく、
最悪のケースだと命を落としてしまうこともある異物です。
この猫ちゃんは、術後数日間入院し、無事お家へ帰ることができました。

今回の症例では、異物の可能性が高かったため、
試験開腹という方法を選択しました。
その他の選択肢としてCT検査が挙げられます。
機能性の閉塞では手術が必要でないことがほとんどなので、
CT検査で異物など機械的な閉塞が見られなければ、
内科的療法で治療していくことになります。
当院でもCT検査を行なっており、状況に合わせて選択していきます。
誤食癖のある子では思わぬものを飲み込んでいるケースが多いように感じます。
日頃から、おもちゃなど、ペットちゃんが触れる可能性のあるものは把握し、
無くなった時にすぐに気づくことのできるような環境を作ることが、病気の予防につながります。
この機会にお部屋の環境を見直してみてはいかがでしょうか。