ふなばし動物医療センター 日々の診療

ふなばし動物医療センター(かつまペットクリニック)での日々の診療などをご紹介いたします。(HP: https://katsuma-pc.jp)

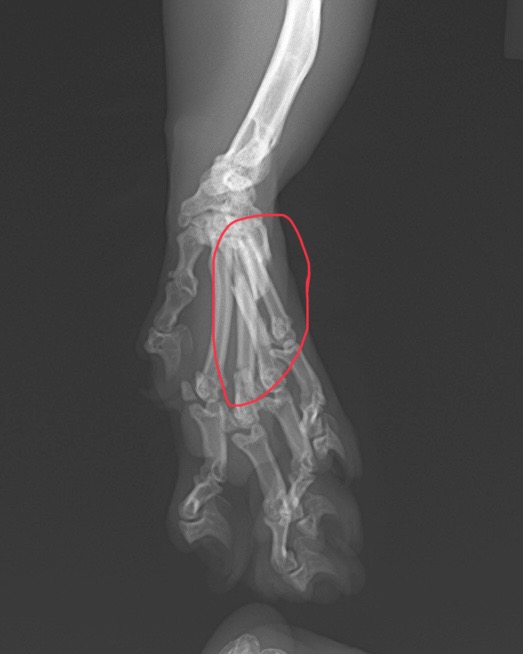
中手骨骨折の猫ちゃんの一例

先日、左前肢の跛行を主訴に来院された猫ちゃんをご紹介します。

 

レントゲンで確認してみると、、、

中手骨の骨折が認められました。(第3-5指)

 

 

今回はピンニングによる整復を行いました。

 

術後はギブス固定を行い、骨の癒合を確認後

手術から約2ヶ月後に抜ピンを行いました。

現在、経過は良好です。