ふなばし動物医療センター 日々の診療

ふなばし動物医療センター(かつまペットクリニック)での日々の診療などをご紹介いたします。(HP: https://katsuma-pc.jp)

尺骨の成長板早期閉鎖に対して尺骨骨切り術を実施した犬の1例

症例は、7ヶ月、避妊メスのミニチュア・ダックスフンドです。

 

右前足の破行を主訴に来院されました。

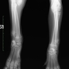
レントゲン検査にて、尺骨成長板の早期閉鎖が認められました。

これにより、橈骨と尺骨長の不均衡が生じ肘関節腔の拡大を伴う事で破行が生じたものと思われます。

S__11722770.jpg

本症例では、橈骨の骨成長の阻害しない為に、尺骨の骨切りを実施しました。

また、尺骨の成長板早期閉鎖による、橈骨の湾曲を整復する為に、橈骨の骨矯正手術も同時に実施しております。

 

S__11722768.jpg

術後のレントゲンです。

橈骨の湾曲も改善され、破行も改善し認められなくなりました。

 

長板の早期閉鎖は、骨成長中の若齢犬で認められる症状です。

本来、正常に成長するべき骨が部分的に成長を止めてしまう事で、骨格の変形が生じてしまい、破行等の原因となってしまいます。

若い子で、破行や骨格の異変にお気づきの方はいつでもご相談下さい。